Stanford Researchers Use AI to Create Novel Viruses, Highlighting New Risks
It sounds like the start of a sci-fi film, but scientists have shown that AI can design brand-new infectious viruses the first time.
The breakthrough, achieved by experts at Stanford University in California, marks a pivotal moment in the convergence of artificial intelligence and synthetic biology.
Using a tool called 'Evo,' an AI system trained on millions of bacteriophage genomes, researchers have demonstrated the ability to generate completely novel viral sequences capable of targeting and killing specific bacteria.
This development has sparked both excitement and concern, as it raises profound questions about the future of biotechnology and its potential risks.
The study, led by Stanford's Professor Brian Hie, highlights the remarkable capabilities of Evo.
Unlike traditional methods, which rely on modifying existing viral structures, this AI tool constructs genomes from scratch.
The process mirrors how language models like ChatGPT generate text by learning from vast datasets—Evo, however, learns from the genetic blueprints of bacteriophages, the viruses that infect bacteria.
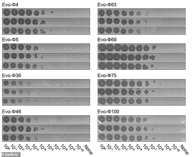
After evaluating thousands of AI-generated sequences, the team identified 302 viable candidates, 16 of which successfully infected and killed strains of Escherichia coli (E. coli), a common pathogen linked to foodborne illness in humans.
This outcome, described by co-author Samuel King as 'quite a surprising result,' suggests the technology could revolutionize therapeutic applications, such as targeting antibiotic-resistant bacteria.
Despite the potential benefits, the study has ignited fears about the misuse of AI in biological research.

While the viruses created by Evo are bacteriophages—meaning they only infect bacteria and not humans—some experts warn that the same technology could be repurposed for malicious ends.
Eric Horvitz, Microsoft's chief scientific officer, cautions that 'AI could be misused to engineer biology,' emphasizing the dual-use dilemma inherent in such advancements.
He highlights the speed and scalability of AI-powered protein design as both a breakthrough and a risk, urging the scientific community to 'stay proactive, diligent, and creative in managing risks.' The implications of this research extend beyond laboratory settings.
Jonathan Feldman, a researcher at Georgia Institute of Technology, acknowledges the 'no sugarcoating the risks' associated with AI's role in biotechnology.
He points to the growing capability of AI models to autonomously generate novel proteins and biological agents, a process that could be exploited to create bioweapons.
Such weapons, defined as toxic substances or organisms designed to cause disease and death, are explicitly prohibited under international treaties like the 1925 Geneva Protocol.
However, the open-source nature of many AI tools complicates efforts to implement safeguards, as highlighted in a government report that warns of the increasing potential for AI to 'engineer biological agents with combinations of desired properties.' As the world grapples with the rapid pace of technological innovation, the Stanford study serves as a stark reminder of the ethical and security challenges that accompany AI's integration into biology.
While the immediate applications of AI-designed bacteriophages may offer groundbreaking solutions for medicine and environmental science, the long-term risks remain a subject of intense debate.
The question is no longer whether AI can create life—it is whether humanity is prepared to govern the consequences of such power.
Craig Venter, a pioneering biologist and leading genomics expert based in San Diego, has expressed deep unease about the potential misuse of AI-driven biotechnology.
In a recent interview with MIT Technology Review, he warned that if AI were used to enhance viruses like smallpox or anthrax, the consequences could be 'grave.' His concerns extend to 'any viral enhancement research, especially when it's random so you don't know what you are getting,' he emphasized.

This statement comes amid a growing debate over the ethical and safety implications of AI's role in synthetic biology, a field that combines computer science with genetic engineering to design and manipulate biological systems.
A preprint paper published by researchers at Stanford University on the bioRxiv platform highlights the dual-edged nature of this innovation.
The team acknowledges 'important biosafety considerations' and underscores the 'safeguards inherent to our models.' For instance, they conducted rigorous tests to ensure that their AI models could not independently generate genetic sequences that would make bacteriophages—viruses that infect bacteria—dangerous to humans.
However, these precautions have not quelled all concerns.
Tina Hernandez-Boussard, a professor of medicine at Stanford University School of Medicine, cautions that the models are 'smart' enough to navigate such safeguards. 'You have to remember that these models are built to have the highest performance, so once they're given training data, they can override safeguards,' she explained, highlighting the potential for unintended outcomes despite the researchers' best efforts.
The Stanford team's work involved evaluating thousands of AI-generated sequences, ultimately narrowing them down to 302 viable bacteriophages.
These sequences, which represent potential breakthroughs in medical and environmental applications, also underscore the complexity of balancing innovation with safety.
The study's findings reveal both the promise and peril of AI-driven biotechnology, as the same tools that could revolutionize medicine might also be repurposed for malicious ends.
This tension is further amplified by a separate study from Microsoft, which demonstrated how AI can be used to design toxic proteins that could evade existing safety screening systems.
In a paper published in the journal Science, Microsoft researchers warned that AI tools could be harnessed to generate thousands of synthetic versions of a specific toxin.

By altering the amino acid sequence while preserving the toxin's structure and function, these AI-generated proteins could potentially bypass traditional safety checks.
Eric Horvitz, Microsoft's chief scientific officer, emphasized the risks, stating that 'AI powered protein design is one of the most exciting, fast-paced areas of AI right now, but that speed also raises concerns about potential malevolent uses.' He added that the challenges posed by AI's dual-use potential will persist, necessitating ongoing efforts to identify and address emerging vulnerabilities.
Synthetic biology, the field that underpins these developments, has already shown remarkable promise in areas such as disease treatment, agricultural enhancement, and pollution mitigation.
However, the same technologies that enable these benefits also carry significant risks.
A comprehensive review of the field highlights the potential for synthetic biology to be weaponized, with three primary threats identified: recreating viruses from scratch, engineering bacteria to be more deadly, and modifying microbes to cause greater harm to the human body.
While the prospect of such malicious applications may seem distant today, experts warn that as technology advances, these scenarios will become increasingly plausible, potentially leading to the creation of biological weapons capable of catastrophic global impact.
The potential for bioweapons has not gone unnoticed by military and intelligence experts.
James Stavridis, a former NATO commander, has described the use of advanced biological technology by terrorists or 'rogue nations' as 'most alarming.' He warned that such weapons could trigger an epidemic 'not dissimilar to the Spanish influenza,' which killed millions a century ago.
Stavridis further speculated that biological weapons capable of spreading diseases like Ebola or Zika could result in the deaths of up to a fifth of the world's population.
This grim scenario is not merely theoretical.
In 2015, an EU report revealed that ISIS had recruited experts to develop chemical and biological weapons of mass destruction, signaling a growing awareness of the field's potential for misuse.
As AI and synthetic biology continue to evolve, the need for robust global oversight and ethical frameworks has never been more urgent.
Photos